
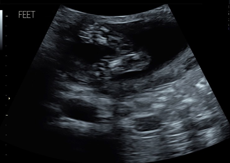
aw dreamy, we got to see our babies face (and body, feet, arms and lips!)
friday we had our 20 week scan (a little early at 18.5 weeks) and it was the best. i felt like it was before a big track meet. or about to speak in front of 500. i was seriously so excited and my heart was just beating so much. all along, i have been totally content just being pregnant and dont really feel anxiety or thoughts about having to have confirmation about whats going on inside, i’ve overall just been content in knowing my body is doing just what it should be.
but then finally once we set the date for the ultrasound and it was coming up i started getting so giddy and so pumped to go see the face. i just wanted to see the face! omg, the profile, i felt like it was just gonna be so real and crazy to see who is in there. the days leading up and day of were so exciting. CJ and I just kept saying “we get to see the face! we get to see the face!”

we went to Seattle Ultrasound Center and had a great tech, who im sure we were her favorite can of the day #duh, and it was just thrilling to finally see our baby! omg there’s a real baby in there! like so real and so fun. this was our first ultrasound, typically people would have a few by now, but we didnt really need confirmation of pregnancy or estimation of due date…so the 20 week scan was our first necessary one. not a blob, but a baby! so it was amazing to see a face, 2 arms, 2 legs, toes and fingers, kidneys…..the heart! all that.
CJ and i were blissed out and just smiling, cant believe thats our baby in there. so nuts. things became so much for real and it was just an incredible day for us. we got printed out photos and a disc with some of the images. those first pictures are so precious, we’ve just been staring at them since.
one of the coolest parts was the first sight we got when she put the scanner on me, was the straight on view of lips and eyes! the lips looked beautiful and big like dads and then she scanned up to the eyes and the sockets looked huge, like mine! that was so fun to see possibly resemblance in the womb! who knows, maybe we’re seeing what we wanted….but the straight on view was so cool compared just to the profile view.
BEST MOMENTS
getting to see the lips and eyes straight on!
seeing how much she was moving in there & flipping around
seeing her move her mouth
just realizing how real it is – there is a legit baby in there
feeling so connected and protective of her
CJ feeling the baby from the outside for the first time!
one awesome thing we got was quick little videos. one of them you can see her moving her mouth. omg. so fun to see her move her little mouth. kill me. she had her hands up by her face a lot in the scan and was super active and moving a ton, flipping side to side which is so cool to know in that little time how much she was moving and i can only imagine how much movement is going on during a normal day. she was moving like crazy, the MOST, i’ve ever felt after the scan, which i read was common. usually i have been able to only feel her when im holding still sitting or laying but i could feel her while i was walking around as well afterward! she probably was over all the poking and proding. i didnt realize how much they push on you in the scans.
MOVING MOUTH
so cute, i’ve watched it 99438 times.
PROFILE
LEFT HAND
So fun. i love just being able to see her in there! i think we both feel so much more attached and that its REAL. there’s a baby in there. more protective. I’m so grateful for our ultrasound, it was such a special thing for us.
Leave a comment